Herzlich Willkommen

Das Team der Zahnarztpraxis dirocco.ch, die Praxis für präventive, restaurative und ästhetische Zahnmedizin in Zollikofen, heisst Sie herzlich willkommen.

Sich wohlfühlen wird im Allgemeinen nicht mit einer Zahnarztpraxis oder einem Zahnarztbesuch in Verbindung gebracht. Wir sind uns dessen bewusst, und sind deshalb bemüht, alles zu tun, um Ihren Zahnarztbesuch so angenehm wie möglich zu gestalten.

Teilen Sie uns einfach Ihre Ängste und Wünsche mit.

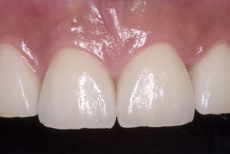
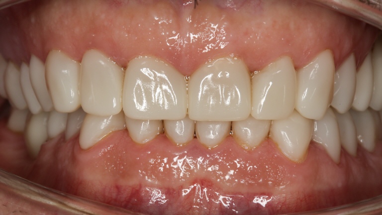
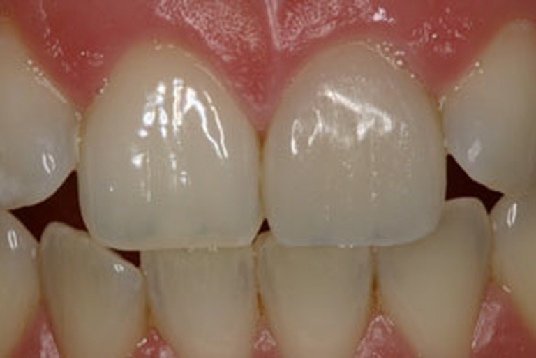
Wir möchten unseren Patient:innen die Tatsache näher bringen, dass die moderne Zahnmedizin und im speziellen die ästhetische und kosmetische Zahnmedizin sehr viel für das Wohlbefinden des:der Patient:in tun kann. Denn schöne und gesunde Zähne und ein gesundes Zahnfleisch geben Ihnen Sicherheit und steigern Ihr Selbstvertrauen und Ihre Lebensqualität. Unser Ziel bei jeder zahnärztlichen Behandlung ist es, das optimale Behandlungsergebnis für Patient:innen aller Generationen zu erzielen.

Bis dahin wünschen wir gute Gesundheit
und verbleiben mit freundlichen Grüssen

Domenico Di Rocco und Team