Aligner Behandlung

Menschen mit einem strahlenden Lachen wirken selbstbewusster und sind meist erfolgreicher. Zu einem strahlenden Lächeln gehören auch die Zähne und entsprechend auch die Zahnstellung. Eine Aligner-Therapie (englisch: to align - ausrichten) ist eine kieferorthopädische Behandlungsmethode zur "unsichtbaren" Behandlung von leichteren bis schweren Zahnfehlstellungen, die mit einer Anzahl von individuell gefertigten, dünnen und durchsichtigen Kunststoffschienen arbeitet.

Behandlungsablauf:

  • 1. Schritt - Herstellung der Unterlagen:

    Am Anfang jeder Behandlung steht eine ausführliche Befundaufnahme. Dabei werden Fotos, ein Übersichtsröntgen (OPT) und nach Bedarf auch ein Fernröntgen erstellt. Anschliessend werden Ihre Kiefer mit der präzisesten Scanmethode (Cerec Primescan) digital abgeformt.

  • 2. Schritt - Individueller Therapievorschlag:

    Alle erhobenen Daten werden der Firma Nivellipso übermittelt, welche anschliessend einen individuellen Therapieplan erstellt. Die definitive Planung wird mit Ihnen bezüglich Behandlungsdauer, -Verlauf und -Kosten besprochen und muss vor der Behandlung von Ihnen bestätigt werden.

  • 3. Schritt - Behandlungsbeginn:

    Nach Ihrer Freigabe des Behandlungsvorschlages werden Ihre Aligner innerhalb von 2-3 Wochen in der Schweiz hergestellt. In der ersten Sitzung werden, falls notwenidig, zahnfarbene Attachments auf die Zähne geklebt, um gezielte Zahnbewegungen zu erreichen. Zusätzlich wird Ihnen die Handhabung und Pflege der Schienen ausführlich erklärt.

  • 4. Schritt - Planmässige Therapie:

    Jeder Schritt (Step) besteht aus drei Alignerschienen unterschiedlicher Materialstärke (soft, regular und intense), die jeweils eine Woche getragen werden. Um einen optimalen Behandlungsverlauf zu gewährleisten sind regelmässige Nachkontrollen nötig. Dabei wird der Verlauf kontrolliert und gegebenenfalls die Kontaktpunkte zwischen den Zähnen durch gezieltes Stripping minimiert.

  • 5. Schritt - Verlauf und Pflege:

    Um einen planmässigen Therapieverlauf zu garantieren, müssen die Alignerschienen den ganzen Tag und Nacht getragen werden. Herausgenommen sollten die Alignerschienen nur zum Essen, Trinken und zur Zahnpflege. Gereinigt werden die Aligner mit einer Zahnbürste und kalten, klarem Wassern.

  • 6. Schritt - Resultat halten:

    Wie nach jeder kieferothopädischen Therapie ist auch nach einer Alignertherapie eine Retention (Halten) des finalen Resultates empfehlenswert. Hierzu eignen sich sog. Retentionsschienen, die nachts getragen werden, oder einen feinen, geklebten Drahtretainer. Wir betraten Sie gerne.

Behandlungsdauer:

Die Dauer einer Aligner-Behandlung ist abhängig vom Grad der Fehlstellung. In der Regel dauert eine Behandlung ca. 6-12 Monate. In schwierigen Fällen kann die Behandlung deutlich länger sein.

Aligner Fall 1 (April bis Dezember 2022):

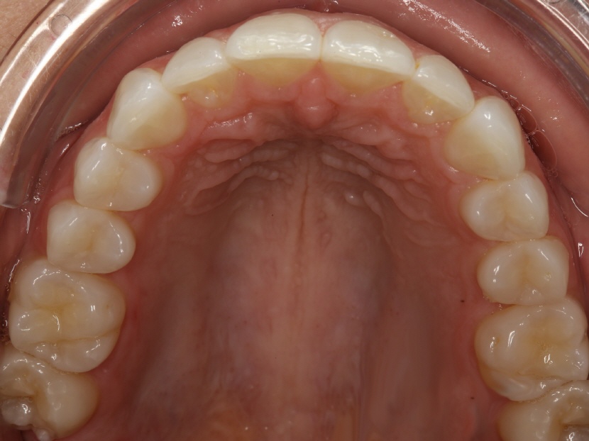
  • Ausgangsituation Oberkiefer:

    Unharmonischer Zahnbogen, minimaler Frontengstand.

  • Ausgangslage - Therapievorschlag Oberkiefer:

  • Behandlungsziel - Therapievorschlag Oberkiefer:

    Horminisierter Zahnbogen; Engstand wird aufgelöst.

  • Oberkiefer nach Abschluss der Therapie:

    Die Behandlung (13 Steps im Ober- und Unterkiefer) dauerte vom April bis Dezember 2022. Der Zahnbogen entspricht der Simulation.

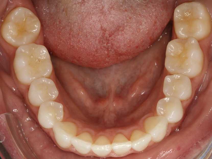
  • Ausgangsituation Unterkiefer:

    Unharmonischer Zahnbogen, deutlicher Frontengstand. Dieser Engstand ist der Hauptgrund für eine Therapie.

  • Ausgangslage - Therapievorschlag Unterkiefer:

  • Behandlungsziel - Therapievorschlag Unterkiefer:

    Der Zahnbogen wird harmonisiert und der Engstand aufgelöst.

  • Unterkiefer nach Abschluss der Therapie:

    Entsprechend dem Oberkiefer entspricht auch der Unterkiefer der Simulation.

  • Übersichtsbild nach Behandlungsende:

    Die seitliche Verzahnung wie auch der Schlussbiss in der Front entspricht dem Therapievorschlag. Die Patientin ist mit dem Resultat hoch zufrieden. Das Resultat wird langfristig mit Retentionsschienen gehalten.

  • Lippenbild nach Behandlungsabschluss

Wünschen Sie einen Beratungstermin?

Für einen Beratungstermin können Sie sich telefonisch unter der Nummer: 031 914 07 77 mit uns in Verbindung setzten oder Ihren Termin gleich online buchen.