CEREC Veneers

Ästhetik und technische Innovation - für viele einen Widerspruch an sich. Allerdings ein Widerspruch, der keinen sein muss. Aufgrund der reduzierten Kosten einer Rekonstruktion bietet das CEREC System dem:der Zahnarzt:in die Möglichkeit die ästhetische Zahnmedizin einer breiteren Basis von Patienten zugänglich zu machen.
Mit dem CEREC lassen sich ästhetisch hochwertige, relativ kostengünstige Keramikschalen eingliedern. Wie bei einer indirekten Versorgung ist aber eine akkurate Planungsphase (virtuelle Studienmodelle, virtuelles Wax-up etc.) unumgänglich, damit ein hochästhetische Resultat erzielt werden kann.

CEREC Veneer - Fall 1

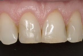
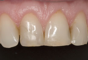
Die Oberkiefer Frontzähne wurden durch einen erhöhten Säurekonsum stark zerstört (Erosionen). Die vier Incisiven (Schneidezähne) werden auf Wunsch der Patientin mit Keramikschalen (Veneers) versorgt. Nach einer präzisen Inspektion und Planung wird mittels Mockup (simuliert die zukünftige Rekonstruktion) entschieden, wo wie viel Platz benötigt wird und nur dort entsprechend Substanz reduziert. Aufgrund der klinischen Situation wurde entschieden, dass die vier Veneers aus einer Glaskeramik hergestellt werden.

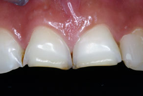
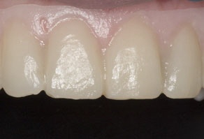
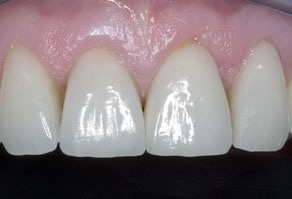
Die vier Veneers wurden aus IPS Empress CAD Multi (A1) Blöcke hergestellt. Nach der Vorpolitur werden die Veneers zur Verbesserung der Ästhetik für einen sogenannten Glanzbrand in den Keramikofen gelegt und nach Vorgabe des Keramikherstellers vergütet. Anschliessend werden die vier Veneers unter absoluter Trockenlegung adhäsiv eingesetzt und poliert. Links das Schlussresultat bei der Nachkontrolle nach einem Monat.

CEREC Veneer - Fall 2

Der Patient wünscht eine Korrektur der Schneidezähne in Lage und Farbe. Der Zahnbogen ist nicht ganz rund und die zentralen Schneidezähne sind etwas zu kurz. Der Patient möchte aber keine Zahnstellungskorrektur, sondern "sofort" eine Lösung.

Auch in diesen Fall wird nach einer eingehenden Untersuchung und Planung die mögliche, zukünftige Situation mittels Mockup (hier die Situation vor der Entfernung der Kunststoffreste) getestet und beurteilt. Der Patient hat so die Möglichkeit die zukünftige Ästhetik zu überprüfen.
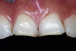
Der Patient war mit Länge und Stellung der Zähne einverstanden.

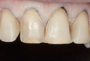
Somit wurden die Zähne wo nötig beschliffen und finiert. Rechts im Bild sehen Sie die finale Situation der präparierten Frontzähne vor der digitalen Abformung. Damit der Rand besser einsehbar ist wird einen Faden (dunkle Linie entlang des Zahnfleischrandes) zwischen Zahn und Zahnfleisch gelegt, der nach der Insertion der Veneers entfernt wird.

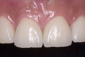
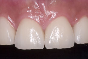
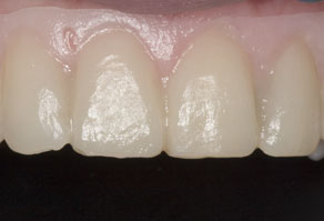
Das Schlussbild der Rekonstruktionen eine Woche nach dem Einsetzen. Der Patient wünschte EmpressCAD Multi BL4 Blöcke (Bleached, d.h. eine sehr helle Zahnfarbe, wie nach einer Zahnaufhellung / Bleichen). Bleachblöcke haben den Nachteil, dass sie kaum Transluzenz aufweisen und dadurch weniger natürlich erscheinen. Leider werden diese höchst unnatürlichen Farben, aufgrund eines "negativen" Einflusses von Seiten gewisser Influencer:innen, immer mehr von Seiten der Patienten gefragt.

Wünschen Sie einen Beratungstermin?

Für einen Beratungstermin können Sie sich telefonisch unter der Nummer: 031 914 07 77 mit uns in Verbindung setzten oder Ihren Termin gleich online buchen.