Amalgamersatz und Amalgamsanierung:

Amalgamfüllungen enthalten giftiges Quecksilber, das sich nach und nach aus der Zahnfüllung lösen und im Körper ablagern kann. Wir verzichten in unserer Praxis seit 1996 vollständig auf den Einsatz von Amalgam, im Wissen dass die Ablagerung des Quecksilbers im Körperinneren verschiedene Beschwerden wie Herz- und Kreislaufbeschwerden, Kopfschmerzen, Müdigkeit und Abgeschlagenheit verursachen können.
Aufgrund der ausgehenden gesundheitlichen Risiken sollten Sie sich über eine fachgerechte Amalgamentfernung informieren. Wir beraten Sie diesbezüglich sehr gerne.

Welche Alternativen zum Amalgam gibt es?

Dank dem Schmelz- und Dentinhaftung sind wir heute in der Lage, dem Wunsch nach zahnfarbenem und nicht sichtbarem Zahnersatz Rechnung zu tragen, und Zahndefekte unter grösster Zahnhartsubstanzschonung minimal invasiv zu versorgen. In der Regel werden an Stelle von Amalgan vor allem Komposit oder Keramik verwendet. Diese Materialien haben unterschiedliche Eigenschafte und Einsatzgebiete. Wir beraten Sie gerne bei einem persönlichen Gespräch.

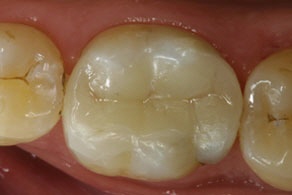
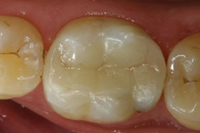
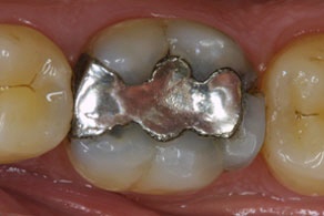
Beispiel 1 eines Amalgamersatzes mit dem Cerec:

Der Zahn weist eine undichte Füllung mit einer kleinen Fraktur im distalen Bereich des Zahnes. Zudem ist der Zahn im Bereich der Fraktur kariös.

Schlussbild nach dem Ersatz der Amalgamfüllung mit einer Cerec-Füllung. Dauer der Sitzung ca. 90 Minuten.

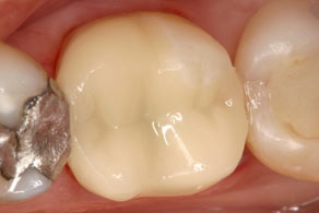
Beispiel 2 eines Amalgamersatzes mit dem Cerec:

Die Patientin klagte über Schmerzen beim Kauen im Bereiche des ersten Stockzahnes (Molar). Der Zahn wurde im Notfalldienst mit einer Kompositfüllung provisorisch versorgt.

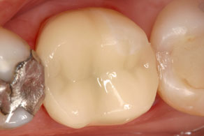
Schlussbild nach dem Ersatz der Amalgam- und Kompositfüllung mit einer Cerec Teilkrone. Der vordere, äussere Höcker wies ebenfalls einen Riss auf und wurde dementsprechend gekürzt. Dauer der Sitzung ca. 90 Minuten.

Wünschen Sie einen Beratungstermin?

Für einen Beratungstermin können Sie sich telefonisch unter der Nummer: 031 914 07 77 mit uns in Verbindung setzten oder Ihren Termin gleich online buchen.