Hochästhetischen Zahnersatz mit dem Cerec

Die moderne Zahnmedizin bietet dem:der Zahnarzt:in eine Vielzahl von Möglichkeiten, im Frontzahnbereich metallfreie, ästhetisch äusserst hochwertige Kronen einzugliedern, die von natürlichen Zähnen kaum noch zu unterscheiden sind.
Mit dem Cerec System ist es ebenfalls möglich Frontzahnkronen und Veneers herzustellen, jedoch muss im anspruchsvollen Frontzahnbereich sehr genau abgeklärt werden, ob auf das Kunsthandwerk des Technikers verzichtet werden kann.

Im ersten Beispiel (Frontzahnkrone I) wurde die Cereckrone durch den Zahntechniker individualisiert (damit wurden mehr Effekte im Schneidekanten-Bereich eingearbeitet), im zweiten Beispiel (Frontzahnkrone II) ist es eine Cerec Krone ohne Mitarbeit des Zahntechnikers eingegliedert worden.

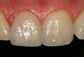
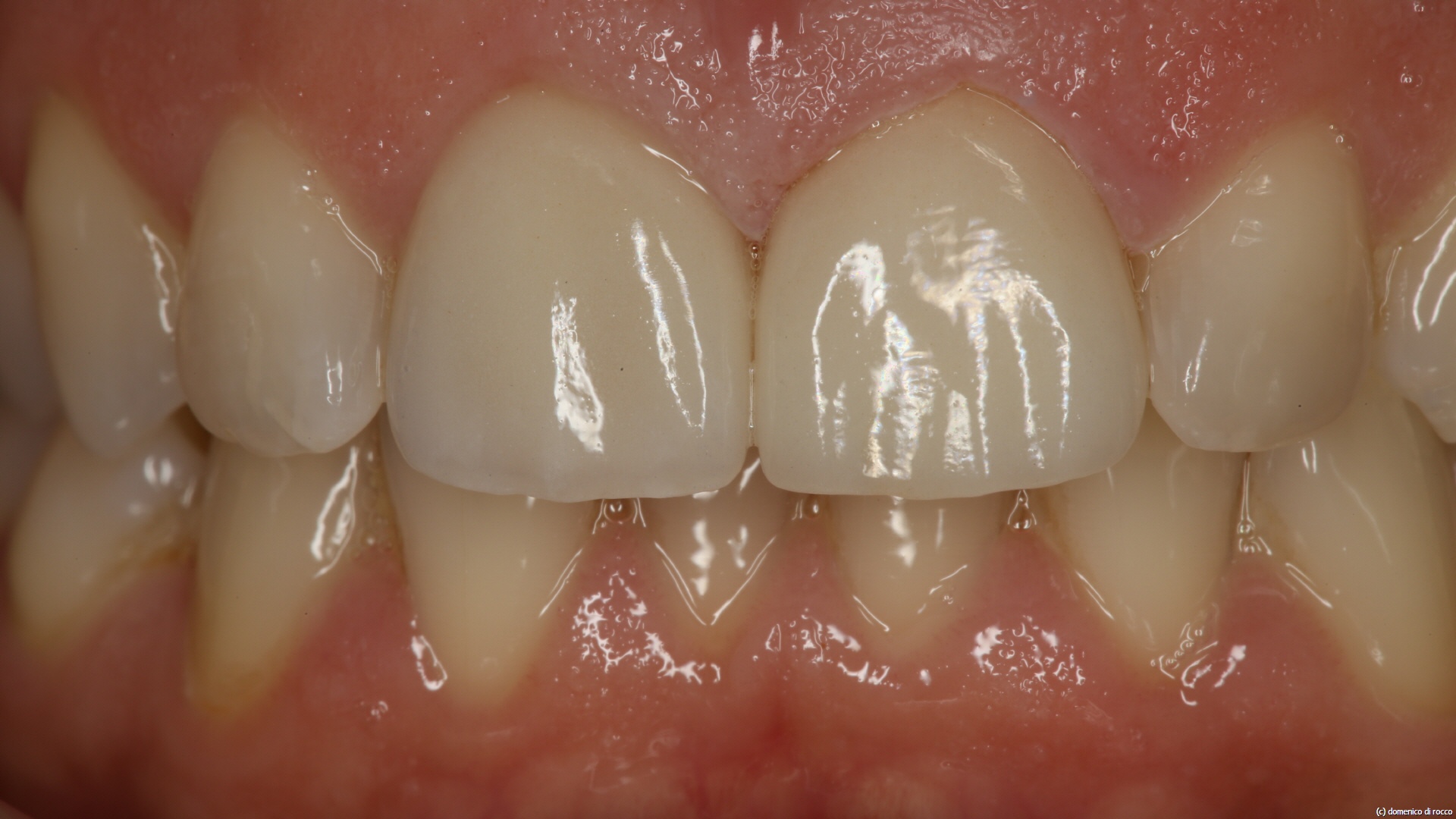
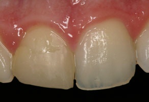
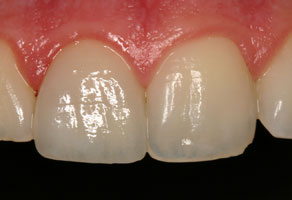
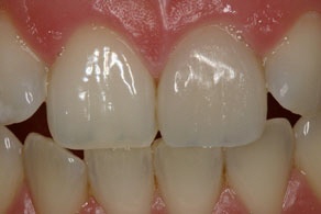
Frontzahnkrone I:

Die linke zentrale Schaufel (rechts im Bild) ist mit einer Verbund-Metall-Keramik Krone versorgt. Das heisst die Krone besitzt ein Metallgerüst (meist eine Goldlegierung), welche mit einer schwachen Keramik verblendet wird. Aus technischen Grüden kann das Goldgerüst nicht immer vollständig mit Keramik überzogen werden. Liegt nun dieser feine Goldrand, wie beim vorliegenden Fall, im sichtbaren Bereich, stört dieser dunkle Rand dementsprechend stark und ist ausschlaggebend für den Wunsch nach dem Ersatz der Krone.
Da beide Zähne vital sind und der natürliche Zahn eine hohe Transluzenz im Schneidebereich aufweist, hat man sich für einen indirekten Weg entschlossen. In diesem Fall wird eine Cereckrone hergestellt, einprobiert und zusammen mit der digitalen Abformung dem Techniker übergeben.

Der Techniker hat die Krone (Feldspat, Vita MK II) nachträglich minimal reduziert und mit Vita VM9 Keramikmasse (ebenfalls Feldspat) individualisiert. Damit erhält die monochrome (einfarbige) Krone eine nätürliche Transluzenz (bläulich-gräulicher Schneidekantenbereich) und ist von dem nätürlichen Zahn kaum zu unterscheiden.

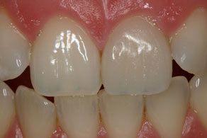
Frontzahnkrone II:

Die rechte zentrale Schaufel (links im Bild) wurde bei einem Skateboard Unfall stark beschädigt und Notfallmässig mit einer Kompositfüllung versorgt. Der Patient störte sich an der Form und Farbe und wünschte eine definitive Versorgung mit Keramik.
Im Gespräch mit dem Patienten hat man sich für eine direkte Lösung mit einer Lithiumdisilika-Keramik entschieden. Die Krone wurde in einer keramischen Vorstufe einprobiert und die Kontur noch finalisiert. Anschliessend wurde die Krone mit spezieller Malfarbe individualisiert (bläuliche Malfarbe im Schneidebereich) und mit einem Kristallisations- und Glasurbrand finalisiert.

Unter Kofferdam wurde die Krone adhäsiv eingesetzt (geklebt), anschliessend wurde die Zement reste entfernt. Das Zahnfleisch ist auf dem Bild links durch die Rändernachbearbeitung (Politur) noch leicht gerötet, wird sich aber nach 1-3 Tagen erholen. Durch das Bemalen wird eine fast nätürliche Transluzenz erreicht, aber einen "Tiefen-Effekt" wie beim Fall 1 ist nicht möglich. Trotzdem ist die Krone im Alltag (auf normaler Sprechdistanz) nicht als "künstlicher Zahn" zu erkennen.

Wünschen Sie einen Beratungstermin?

Für einen Beratungstermin können Sie sich telefonisch unter der Nummer: 031 914 07 77 mit uns in Verbindung setzten oder Ihren Termin gleich online buchen.