Behandlungsschwerpunkte
Nebst der jährlichen Zahnkontrolle und regelmässigen Dentalhygiene, liegt unser Spezialgebiet in der präventiven, der restaurativen und der ästhetischen Zahnmedizin, insbesondere der restaurativen Zahnmedizin mittels CEREC (Dr. Di Rocco ist Key Opinion Leader Cerec, Instruktor und externer OA div. Universitäten). Als anerkannter Schulzahnarzt sind wir aber auch für die kleinsten Patienten da.
-
-
-
Dentalhygiene: Bakterieller Zahnbelag ist die Hauptursache für Karies, Zahnfleischentzündungen (Gingivitis) und Zahnbetterkrankungen (Parodontitis). Gerade an Stellen, wo die Zahnbürste nur schwer hingelangt, vermehren sich Bakterien rasant. [mehr] -
Gesamtsanierungen: sind oft aufwändige Eingriffe, die grosser Fachkompetenz in den verschiedenen zahnmedizinischen Disziplinen bedürfen, damit das Endergebnis überzeugt. [mehr] -
Wurzelbehandlungen: Soll ein Zahn trotz starker Beschädigung erhalten bleiben, ist die Wurzelbehandlung oft die einzige Behandlungsoption, mit der die endgültige Entfernung eines Zahnes umgangen werden kann. [mehr]
-
-
-
Zahnaufhellung (Bleaching): Der Wunsch nach schönen weissen Zähnen besteht schon seit dem Altertum. Die Römer benutzten Urea (Harnstoff) zum Reinigen und Aufhellen der Zähne. Durch ein Zahn-Bleaching (Home oder In-Office) ist die schonende und nachhaltige Aufhellung der Zahnfarbe innerhalb kurzer Zeit möglich. [mehr] -
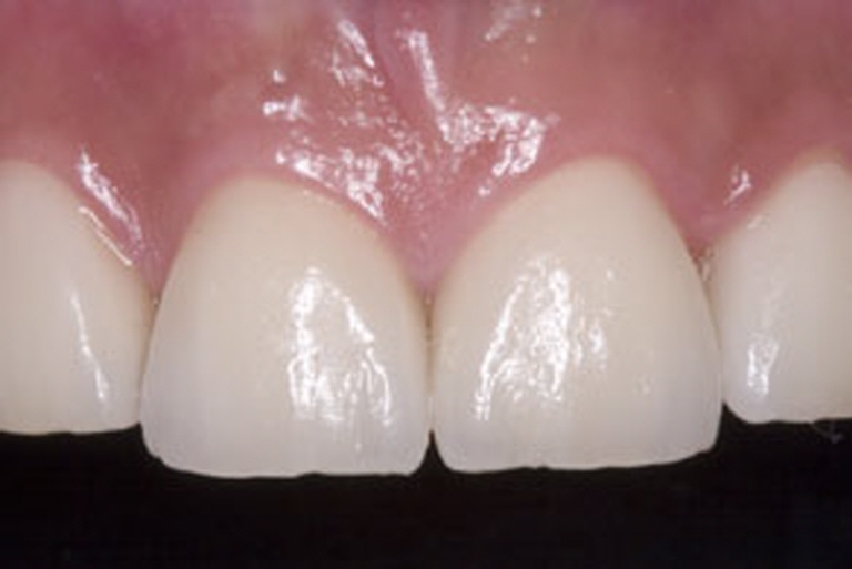
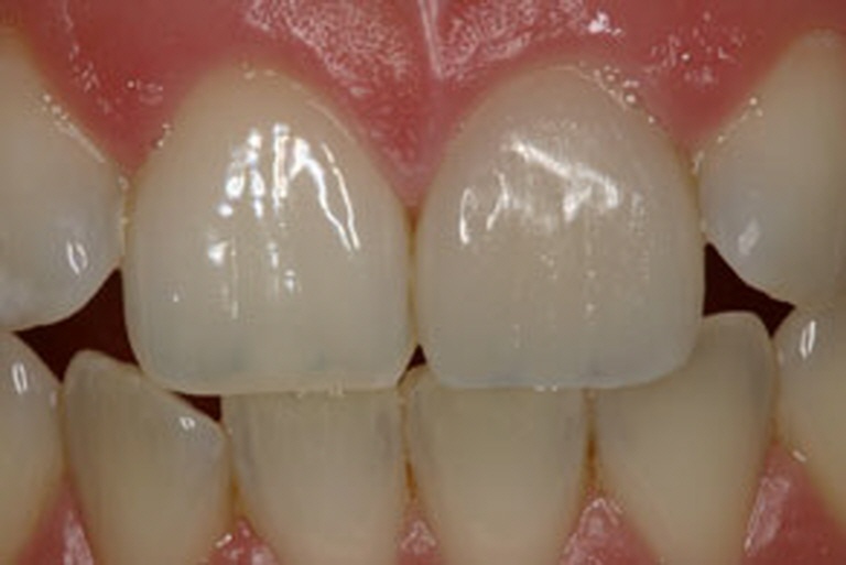
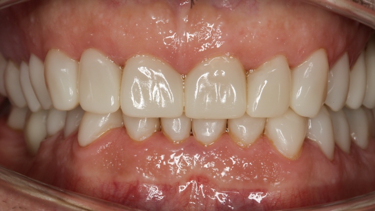
CEREC Verblenschalen - CEREC Veneers: sind zusammen mit den Kronen mit Abstand die anspruchvollsten, direkten Rekonstruktionen und werden zurecht als "Königsweg der Frontzahnästhetik" bezeichnet. [mehr]
-
-
-
-
-
Amalgamersatz: Aus gesundheitlichen und ästhetischen Gründen verzichten wir seit 1996 in unserer Praxis vollständig auf Amalgam. Falls Sie Interesse daran haben, Ihre Amalgamfüllungen zu ersetzen, beraten wir Sie gerne. [mehr] -
Vollkeramik Kronen: Physikalisch gesehen drängt sich Keramik als Ersatz für die verlorengegangene Zahnsubstanz an erster Stelle auf, da dieses Material sehr schmelzähnliche Eigenschaften aufweist. [mehr]
-
-
-
Cerec System: Schnell, einfach und effizient in nur einer Sitzung zur Vollkeramik Rekonstruktion. [mehr] -
CEREC Kronen im Frontzahnbereich: sind zusammen mit den Veneers mit Abstand die anspruchvollsten, direkten Rekonstruktionen und werden zurecht als "Königsweg der Frontzahnästhetik" bezeichnet. [mehr] -
Alignerbehandlung: Eine Aligner-Therapie (englisch: to align - ausrichten) ist eine kieferorthopädische Behandlungsmethode zur "unsichtbaren" Behandlung von leichteren bis schweren Zahnfehlstellungen, die mit einer Anzahl von individuell gefertigten, dünnen und durchsichtigen Kunststoffschienen arbeitet. [mehr]
-
-