In-Office Bleaching und Home Bleaching

Beim Bleichen von Zähnen wird prinzipiell das Vorgehen beim vitalen und beim devitalen Zahn unterschieden.

Beim Bleichen vitaler Zähne werden die Chemikalien auf den Schmelz appliziert. Es werden somit nur die Schmelzverfärbungen beeinflusst, das Dentin, das im Grunde ausschlaggebend für die Zahnfarbe ist, wird nicht oder nur minimal verändert. Man spricht von einem externen Bleichen, das nach 1-2 Jahren wiederholt werden muss, sollte der:die Patient:-in "dauerhaft" eine hellere Zahnfarbe wüschen.
Beim Bleichen devitaler Zähne werden die Chemikalien in das Pulpakavum eingebracht. Dadurch werden Verfärbungen innerhalb des koronalen Dentins (Dentin der Zahnkrone) verändert. Man spricht hier auch von einem internen Bleichen. Auch bei dieser Methode kann sich ein leichtes Rezidiv (der Zahn dunkelt etwas nach) einstellen.

Wünschen Sie ein Bleaching-Termin?

Für ein Home-Bleaching Termin können Sie sich telefonisch unter der Nummer: 031 914 07 77 mit uns in Verbindung setzten. Für einen In-Office-Bleaching Termin können Sie sich ebenfalls telefonisch unter der Nummer: 031 914 07 77 mit uns in Verbindung setzten oder Ihren Termin gleich online buchen.

  • HOME-BLEACHING
  • IN-OFFICE BLEACHING

Home-Bleaching:

Bleicht der:die Patient:in seine:ihre Zähne zu Hause, bezeichnet man dies auch als Homebleaching. Wir benutzen dazu v.a. die Produkte von Philips ZOOM!, aber auf Wunsch auch das Bleaching der Firma Skysmile.

Vorteile:

  • Die Kosten, sind in der Regel leicht geringer als bei einem In Office Bleaching
  • Sie bleichen die Zähne, wann immer Sie das wünschen und müssen hierzu nicht in die Praxis kommen
  • Das Nachbleichen ist relativ einfach, kostengünstig und ebenfalls jederzeit möglich

Nachteile:

  • Der Bleichvorgang dauert länger
  • Die Patientin oder der Patient muss aktiv mitarbeiten

Klinisches Vorgehen:

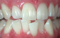
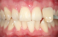
Die Patientin ist mit ihrer natürlichen Zahnfarbe nicht zufrieden (die Eckzähne sind deutlich gelber als die restliche Bezahnung).

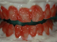
Mit einer Abformung der Kiefer werden Modelle und anschliessend passgenaue Schienen hergestellt.

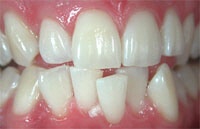
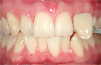
Schlussbild nach dem Home-Bleaching:

Schlussresultat nach ca 2 Wochen (eine Stunde Tragdauer des Gels/Schiene pro Tag)

Beim In-Office Bleaching wird der Bleichvorgang in der Praxis durchgeführt. Meist sind drei bis vier Bleichzyklen erforderlich. Auch hier verwenden wir das Produkt von Philips ZOOM!

Vorteile:

  • relativ kurze Behandlungsdauer (eine Sitzung, ca. 90 Minuten)
  • Einzelzähne können gebleicht werden (z.B.: dunkle Eckzähne)
  • Zahnhälse werden abgedeckt, dadurch weniger sensible Zähne nach dem Bleichen

Nachteile:

  • Die Kosten sind gegenüber dem Homebleaching leicht erhöht
  • Das Nachbleichen ist kostenintensiver

Klinisches Vorgehen:

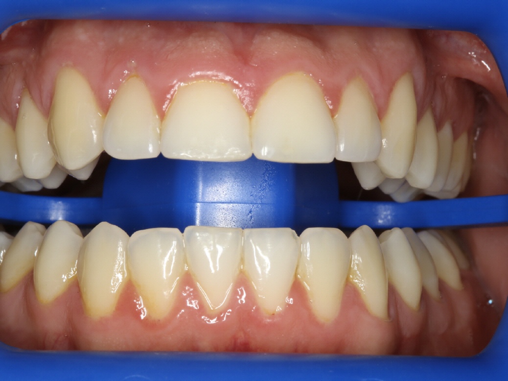
Ausgangsstatus vor dem Bleichen. Es wird wie beim Homebleaching die Zahnfarbe mit einem Farbschlüssel oder digital gemessen.

Das Zahnfleich wird mit einer Maske abgedeckt und anschliessend werden die Zähne während 3-4 Zyklen a 15 Minuten mit Gel beschickt und mit einer Speziallampe (Philips Zoom) wird das Gel aktiviert.

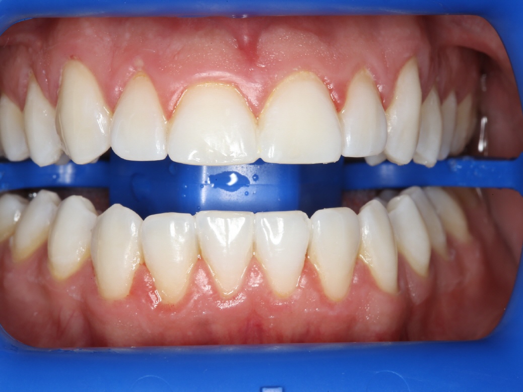
Schlussresultat nach 3 Zyklen a 15 Minuten.