Gesamtsanierung

Unter einer Gesamtsanierung wird der Wiederaufbau Ihres Gebisses unter Berücksichtigung aller zahnmedizinischen Aspekte, wie Ästhetik, Funktion und der parodontalen Gesundheit, verstanden - egal in welchem Zustand Ihr Gebiss zu Beginn ist.
Gesamtsanierungen sind oft aufwändige Eingriffe, die grosser Fachkompetenz in den verschiedenen zahnmedizinischen Disziplinen bedürfen, damit das Endergebnis überzeugt. Darum arbeiten wir eng mit Fachspezialisten zusammen, damit wir Ihnen stets ein Behandlungsoptimum garantiern können.

Gründe für eine Gesamtsanierung:

  • Ungenügende Kauleistung (oft durch viele Lücken verursacht)
  • Viele Rekonstruktionen oder Füllungen mit zweifelhafter oder ungenügender Qualität
  • Säuregeschädigtes Gebiss (Bulimie, gastrischer Reflux, saure Getränke und Speisen)
  • Bisshöhenverlust (durch überdurchnittlich hoher Abnützung der Zahnhartsubstanz)
  • Mangelhafte Mundhygiene resp. hohe Kariesaktivität

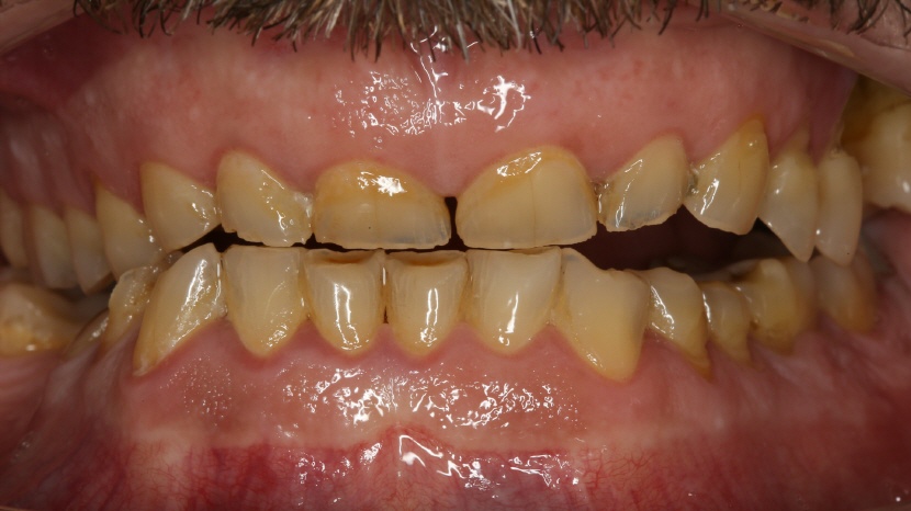
Patienten Fall 1:

  • Lippenbild vor Therapiebeginn

    Der Patient wünscht eine Verbesserung der Ästhetik. Er stört sich an der Farbe und Form seiner Zähne und wünscht möglichst helle und längere (inkakte) Zähne.

  • Übersichtsbild

    Deutlicher Substanzverlust aufgrund von Abrasion (Abnutzung) und Erosion (Säureeinwirkung). Zusätzlich fehlen im Unterkiefer rechts und Oberkiefer links je ein Molar (Stockzahn).

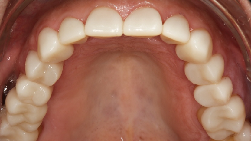
  • Aufbissansicht des Oberkiefers

    Deutlich sichtbarer, generalisierter Schmelz- und Dentinverlust.

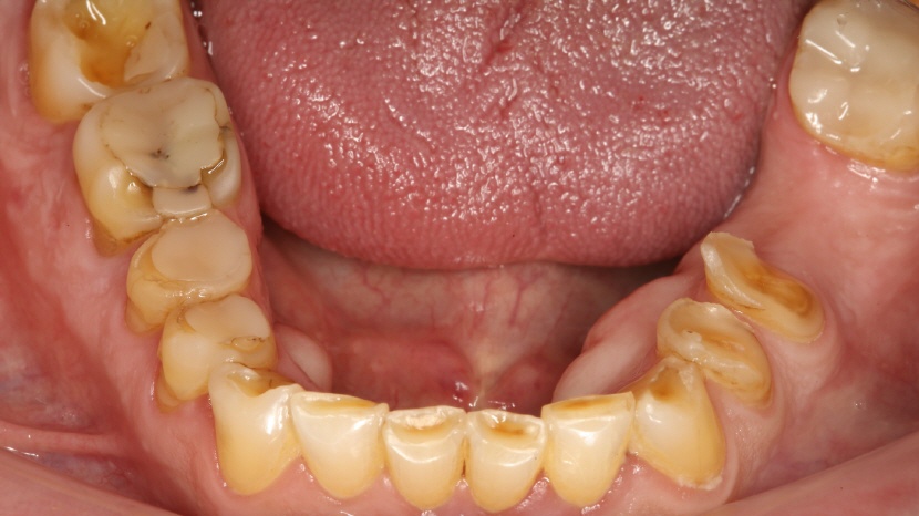
  • Aufbissansicht Unterkiefer

    Auch im Unterkiefer ist der Substanzverlust deutlich sichtbar. Ebenfalls sind die insuffizienten Füllungen gut sichtbar

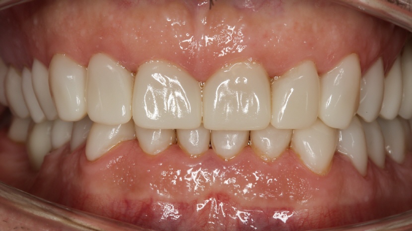
  • Lippenbild nach der Gesamtsanierung mit Keramikrekonstruktionen

  • Übersichtsbild nach der Sanierung

    Die Zähne wurden mit Vollkeramikrekonstruktionen versorgt. Auf Wunsch des Patienten wurde die sehr helle Farbe A1 gewählt. Die Rekonstruktionen wurden direkt mit dem Cerec hergestellt. Als Keramik wurde der Lithiumdisilikat-Block der Firma GC verwendet (GC Initial LiSi A1 HT).

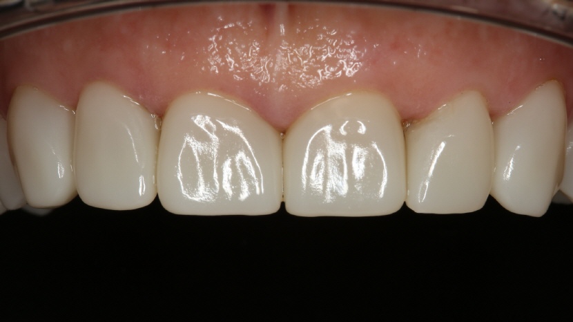
  • Oberkiefer Front:

    Wie alle Cerec-Rekonstruktionen wurden ebenfalls die Frontzahnkronen in einer Sitzung hergestellt, poliert und mit lichthärtendem Komposit (GC G-Aenial Universal Injectable A1) eingesetzt.

  • Aufbissansicht nacht der Therapie

    Die Brücke im Oberkiefer links, wie auch die Brücke im Unterkiefer rechts, wurden durch den Zahntechniker (N. Lanfranconi, Zürich) volldigital aus Zirkon hergestellt

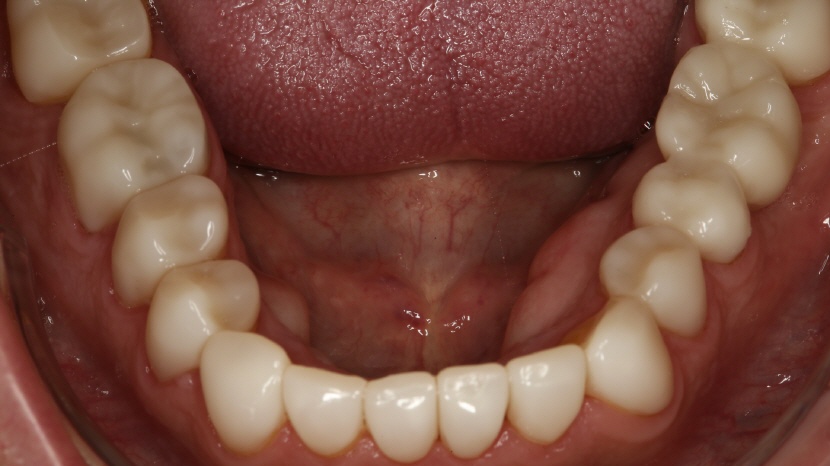
  • Aufbissansicht nach Therapie des Unterkiefers

  • Cerec Seitenzahnkronen

    Lithiumdisilikat Kronen in einer Sitzung hergestellt aus GC Initial LiSi A1 HT Blöcke vor der adhäsiven Befestigung.