Vollkeramik-Kronen

Marilyn Monroe hatte es; das perfekte Lächeln. Doch ihre perfekten, lückenlosen, weiss schimmernden Zähne waren, wie bei vielen Hollywood Stars und Topmodels, nicht echt. Sie haben sich künstliche Frontzähne zugelegt, damit ihr Lächeln noch gewinnender wird, schliesslich stehen gesunde weisse Zähne seit je her für Gesundheit, Jugendlichkeit und nicht zuletzt für Erfolg!

Doch nicht allein der Wahn noch schöner zu sein, ist ein Grund Keramikrekonstruktionen einzugliedern, sondern man kann auch Stellungskorrekturen, die nicht kieferorthopädisch korrigiert werden können, relativ einfach und zahnschonend beheben. Zähne mit Frakturen (Status nach Zahntrauma), wie auch Zähne mit Schmelzbildungsstörungen können mit Keramikveneer wie auch, je nach Grösse des Defektes, mit Vollkeramikkronen ästhetisch höchst zufriedenstellend versorgt werden.

Physikalisch gesehen drängt sich Keramik als Ersatz für die verlorengegangene Zahnsubstanz an erster Stelle auf, da dieses Material sehr schmelzähnliche Eigenschaften aufweist. D.h. der verlorengegangene Schmelz wird mit einem gleichwertigem Material ersetzt, der Zahn zeigt in der Funktion (Kaubewegung) praktisch die gleichen physikal. Werte wie ein natürlicher Zahn.

Das Komposit ist physikalisch gesehen sehr dentinähnlich, d.h. deutlich "weicher" und als Ersatz einer Facette oder der Zahnkrone sicherlich ein weniger empfehlenswertes Material!

Frontzahnkrone - Fallpräsentation

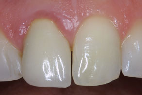
Die rechte zentrale Schaufel (Incisiv) ist mit einer Verbund-Metall-Keramik Krone versorgt. Der Kronenrand liegt leicht subgingival und führt trotz guter Mundhygiene zu einem leicht entzündeten Gingivasaum.

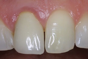
Die VMK Krone wurde durch eine reine Feldspat Krone ersetzt. Verwendet wurden: Vita MK II Keramikblock und VM9-Keramik zur Individualisierung.
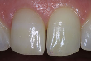
Die Gingiva zeigt kaum noch Entzündungzeichen, die Farbe ist fast wieder normal.

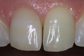
Schlussbild (Lippenbild), sechs Monate nach dem Einsetzen.

Wünschen Sie einen Beratungstermin?

Für einen Beratungstermin können Sie sich telefonisch unter der Nummer: 031 914 07 77 mit uns in Verbindung setzten oder Ihren Termin gleich online buchen.